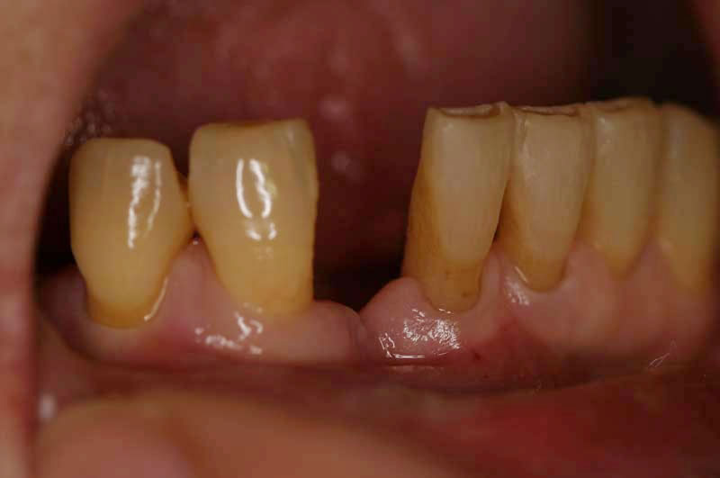
ブリッジ症例
なくなった歯の両隣の歯を土台にして、かぶせ直す治療法

従来の金属の裏打ちが必要なブリッジ

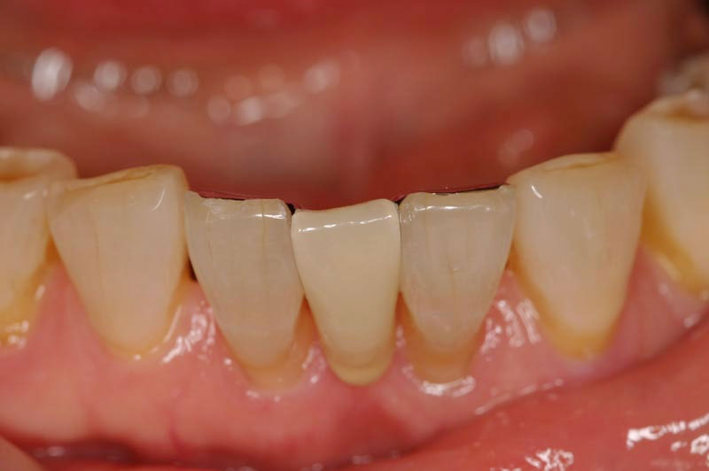
メタルフリーで金属アレルギーの方にも対応可能

従来の接着ブリッジ
両隣の歯は裏打ちの金属が透けて黒っぽく見える

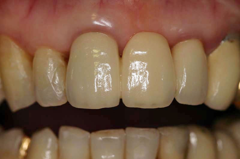
最新型の接着ブリッジ

どこを治したのかわからない

本ホームページに用いられている症例写真は全て当院で治療を受けられた患者様の写真です。説明用写真としての提示を快く承諾していただき感謝申し上げます。