
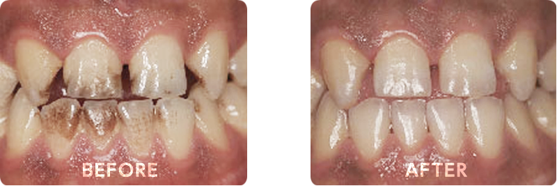
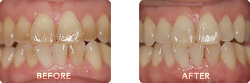
専門資格を有する当院のスタッフが、ヤニ、シブ落とし、バイオフィルムの除去、そしてカリエス、歯周病予防としての専門的クリーニングを担当します。 当院では通常の方法では除去できない着色・汚れを専用の器械・器具を用いて徹底洗浄します。
PMTC (Professional Mechanical Tooth Cleaning)
スーパーソルトクリーニング
*(独kavo社 カボフレックス2使用 図1)、歯面研磨およびメインテナンスを含む
*専用薬剤をジェット噴射のように吹き出し、歯の間や、目に見えない歯の凹面に入り込んだバイオフィルム(細菌の巣)や着色を落とします。
スーパーソルトクリーニング後、3大不潔域を中心にプロフェショナルクリーニングを行い、薬液洗浄、フッ素塗布を行い完了。
PMTCを行った症例






