① 歯科一般について
cureよりcare、かぶせものや入ればなどの治療に進まないためにも日頃からのお口の管理が大事です。やむなく抜歯やむし歯を削ったりといった治療が必要となっても安心して治療いただけるよう努力しております。
治療方法や治療後の注意事項などよく説明します。
② 無痛治療
抜歯やむし歯の治療で痛くない治療のための麻酔注射自体が痛いもの。いやなものです。当院では麻酔注射前に必ず表面麻酔を行い、極細の針を用いて電動式注射器で麻酔します。これにより麻酔時の痛みはほとんどなくなりました。安心して受けられます。初期う蝕ではレーザーを用いて齲蝕の進行を防ぎ、再石灰化を促進します。痛みはほとんどありません。
③ 細菌検査
むし歯菌検査
口の中のむし歯菌がつくり出す酸がどれくらい強いか(Attack Power むし歯の攻撃力)を調べるテストです。口の中と同じ状態を試験管の中で再現し、試験液の色変化によりむし歯のなりやすさを判定します。試験結果が悪くても、口の中の防御力が強ければ悲観することはありません。 口の中の防御力(Defense Power 唾液の防御力)を調べるテストですが、食物を食べたとき口の中の酸が急激に増加します。このテストは口の中が元の状態に戻る早さを調べます。口の中にどれだけながい時間酸がとどまるか、また、唾液の分泌量は多いか少ないかなどを調べます。
歯周菌検査
歯周病の原因である歯周菌には様々な種類があります。どのタイプの細菌かを調べ、適切な抗生剤の投与をすることで効果的に歯周病を改善させることができます。 歯周病は、嫌気性菌(酸素の無いところを好む)が発生の原因と言われています。以前は嫌気性菌の検査は困難でしたが、現在は菌のDNA(遺伝子)を増幅して調べるPCR法(Polymerase Chain Reactino)が開発され可能になりました。
検査可能細菌
Aa菌 Actinobacillus actinomycetemcomitans
Pi菌 Prevotella intermedia
Pg菌 Porphyromonas gingivalis
Tf菌 Tannerella forsythensis
Td菌 Treponema denticola
Fu菌 Fusobacterium nucleatum
歯と歯の間のむし歯は気付かずに進行。左写真の歯の中は右写真のようにかなり進んでいます。
歯と歯の間のむし歯は気付かずに進行。左写真の歯の中は右写真のようにかなり進んでいます。
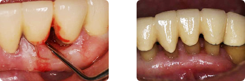
歯周病による歯ぐきのハレも気付かずに進行。汚れ落としなどの基本治療で右写真のように。これだけ歯ぐきがハレていたんです。
④ マウスガード
スポーツ外傷の予防に使用します。
本ホームページに用いられている症例写真は全て当院で治療を受けられた患者様の写真です。説明用写真としての提示を快く承諾していただき感謝申し上げます。

