
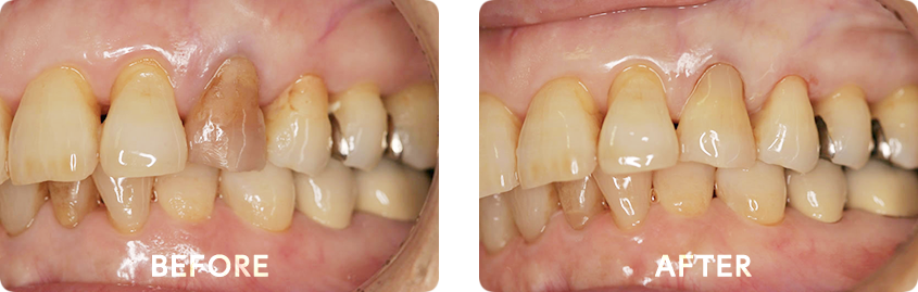
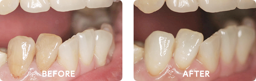
歯の着色や汚れを落とすのはクリーニング、歯の変色を治療するのがホワイトニング。 変色の原因は様々で、治療方法も異なります。当院の歯科衛生士は日本歯科審美学会認定ホワイトニングコーディネーターの資格をもっています。お気軽にご相談下さい。
ホームホワイトニング 専用のトレーと薬剤で自宅にいながらできるホワイトニング法。オフィスホワイトニングと比較し、後戻りや知覚過敏の症状が少ないが、期間はかかる(通常2週間)。
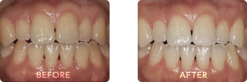
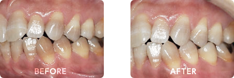
※下2枚 スライド 重度変色の場合、副作用が起こらない程度に改善します。
オフィスホワイトニング
院内で専用薬剤とレーザーを使用して行うホワイトニング法。短時間で効果があるものの、後戻りや知覚過敏もホームホワイトニングと比較して生じやすい。
デュアルホワイトニング ホームホワイトニングとオフィスホワイトニングを併用する方法。
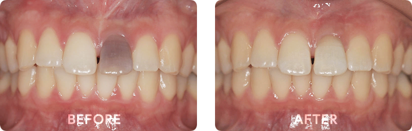
失活歯ホワイトニング(ウォーキングブリーチ) 神経・血管をとる根っこの治療をした、いわゆる死んでしまった歯は変色します。このような歯に対しては歯の中に専用の薬を入れてホワイトニングします。
これだけの変色でも2~4週で以前の歯の色に回復できます。
