① 診査・説明
デンタルⅩシステムによるわかりやすい説明書をお渡しします。 模型や写真のほか咬合器による噛み合わせ診査やシミュレーション模型を製作し、わかりやすく説明します。
② 治療【ミニマルインタベンション(最小介入)】
医科では内視鏡による治療のことで、外科的侵襲を最小限に抑える考え方です。歯科では歯の健康な部分は極力削らない、または極力外科的侵襲を加えないで治療する考え方です。
③ 治療【トップダウントリートメント】
インプラントや義歯治療の場合、最終補綴から逆算して治療計画を立てる補綴主導型の考え方です。口腔内の予後を推察し、今どのような治療が効果的か予測して治療を行います。
④ アフターケア
キュアよりケア、定期的診査およびメインテナンスの重要性は周知の事実です。スタッフ全員で皆様の口腔健康と全身健康の向上のためお手伝いさせていただきます。常勤歯科衛生士がいない歯科医院が増えております(県内では32%)。当医院での患者様のメインテナンスは歯科助手・アシスタントではない国家資格を有する歯科衛生士2名が皆様の口腔健康管理を担当します。
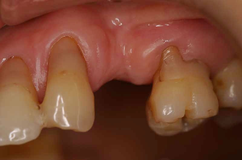
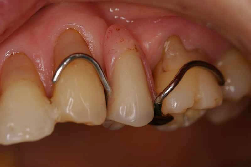
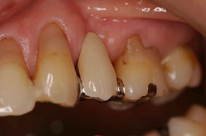
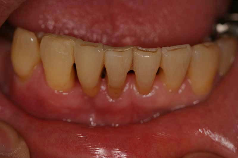
本ホームページに用いられている症例写真は全て当院で治療を受けられた患者様の写真です。説明用写真としての提示を快く承諾していただき感謝申し上げます。







