
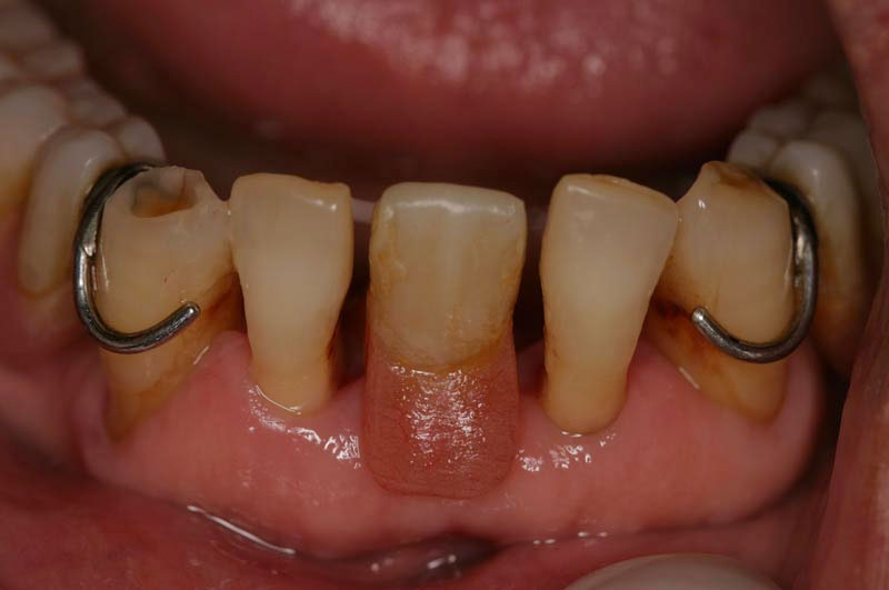
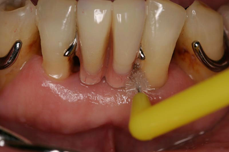
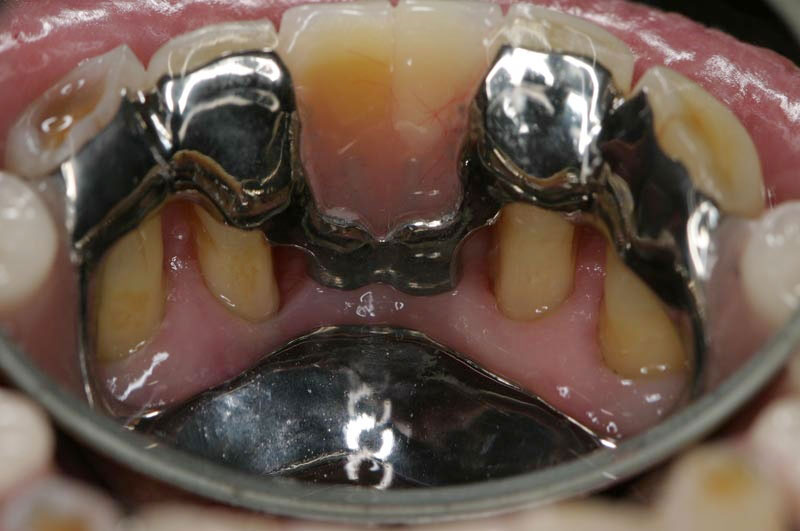
義歯製作は主にチタンによるワンピースキャスト(バネ、フレーム一体型)製法で行います。これによりたわみがなく、歯周病でぐらついた歯もギプスのように 固定してしっかりと噛むことが出来ます。設計は歯の汚れを極力回避する衛生的なスカンジナビア式で行っています。患者さんのお口の状態に合わせたオーダー メード義歯となります。
チタン床義歯
薄く、軽くしかも強度の高いチタンは部分入れ歯に最適。歯を守るギプス効果はレジン(プラスチック)性の入れ歯とは一線を画します。
アタッチメント(ミリング処理)
土台の歯のかぶせもの(冠)から入れ歯用に調整されたもの。バネがぴったりフィットし、ギプス効果がさらに向上します
磁性アタッチメント
歯の根っこ(歯根)だけを残して、磁石の力で入れ歯を支える治療法です。
コーヌスクローネ
土台となる歯のかぶせもの(外冠)が入れ歯と一体化しているタイプ。歯に対する影響力、見た目、全てにおいて部分入れ歯の王様です。
上が古い義歯、下が新義歯
残っている歯は歯周病でグラグラしているものの、専門的なオーダーメードな設計でギプスのように固定されます。表も裏も掃除しやすく、また、汚れもたまりづらいといった歯周病のケースに、また、予防に効果的です。
本ホームページに用いられている症例写真は全て当院で治療を受けられた患者様の写真です。説明用写真としての提示を快く承諾していただき感謝申し上げます。




















