
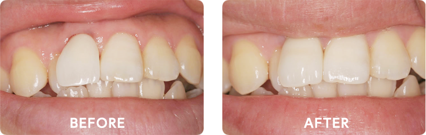
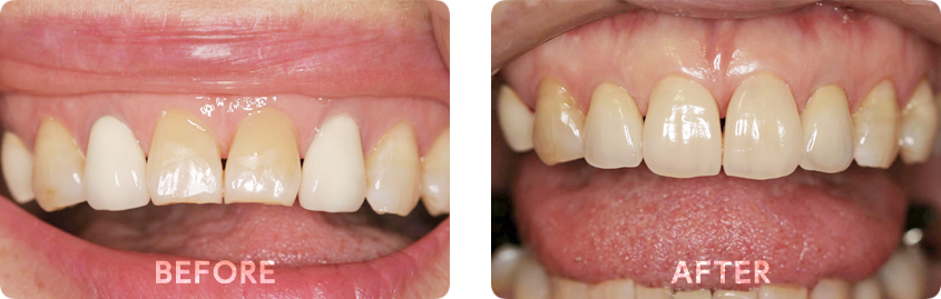
セラミック素材冠
金属を使用しないため金属アレルギーの方にも対応可能
ジルコニアセラミッククラウン 透明感に優れた高い審美性を有しながら、しなやかで強靱。従来のセラミックの欠点を克服した最新材料。スペースシャトルの耐熱タイル、F1のブレーキシス テムの部品などに用いられている素材。また、人工関節の材料として使用され、その優れた生体親和性から、これまで困難とされてきた金属アレルギーの方のブ リッジ治療に最適です。
セラミッククラウン
透透明感、色調など前歯部の審美治療に最適な方法。
ハイブリッドセラミッククラウン
セラミックと合成樹脂(歯科用プラスチック)の中間素材でセラミックの硬さと樹脂のねばり強さを併せ持つ治療法。強度がある反面、セラミックと比較すると透明感、色調および色調の安定性にやや劣ります。
セラミック系部分修復
むし歯による部分的な修復治療
ジルコニアセラミックインレイ・オールセラミックインレイ
透明感、色調など臼歯部の審美治療に最適。
ラミネートべニア
歯の表面を一層だけ削り、薄いセラミックを専用の接着剤で貼り付ける方法。 歯に対する侵襲が少ないので、生きている前歯の審美改善に最適。
ハイブリッドセラミックインレイ
セラミックと合成樹脂の中間素材でセラミックの硬さと樹脂のねばり強さを併せ持つ治療法。強度がある反面、セラミックと比較すると透明感、色調および色調の安定性にやや劣ります。
前装冠
金属フレームを裏打ちにした審美治療方法で、適合性と強度に優れる治療方法。 歯が無いところのブリッジ治療では主に前装冠が用いられます。
ハイブリッドセラミック前装冠
セラミックと合成樹脂の中間素材でセラミックの硬さと樹脂のねばり強さを併せ持つ治療法。強度がある反面、セラミックと比較すると透明感、色調および色調の安定性にやや劣ります。
硬質レジン前装冠
前歯部は保険適応。金属、陶材と比較し磨耗する材料(歯科用合成樹脂)を用いるため頬側の面だけを白くコーティングしたもの。かみ合う部分は金属となります。
充填法 型をとってかぶせる治療でなく、むし歯を削ったらすぐ専用の材料でつめる治療法。
硬質レジン(歯科用プラスチック)は全部の歯に対し保険適応。変色、すり減りなど材料の劣化が大きい。ハイブリットレジン充填法は従来の硬質レジンにセラミック粒子が配合された劣化が少ない強化型材料によるむし歯治療。
ハイブリッドレジン充填法 前歯部は保険適応。金属、陶材と比較し磨耗する材料(歯科用合成樹脂)を用いるため頬側の面だけを白くコーティングしたもの。かみ合う部分は金属となります。
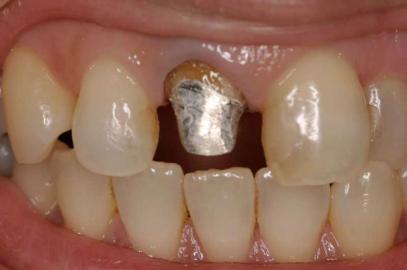
支台築造体(コア)
歯の崩壊が著しい場合、かぶせもの(冠)を製作する前に土台になるものを築造しなければなりません。当院では歯の破折防止、土台ごとの冠の脱落予防のため グラスファイバーポストを推奨しています。オールセラミック治療のようにより審美性を追求する場合にも金属の土台色が透けず、ハイレベルな治療が可能です。









